
Descripción
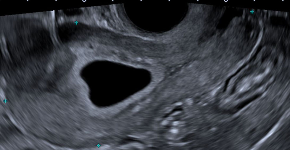
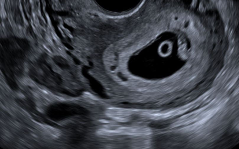
El examen de ecografía obstétrica inicial en Quito, realizada entre la semana 5 y 10 de embarazo (vía Transvaginal), es un momento crucial y emocionante. Esta ecografía temprana permite confirmar la presencia del embrión, verificar su vitalidad detectando el latido cardíaco, determinar la edad gestacional con gran precisión, y evaluar si el embarazo es intrauterino o extrauterino. Es una primera "mirada" a tu futuro bebé.
La gran ventaja de realizar este estudio en RehaSer es que contamos con la Dra. Gaby Trujillo, nuestra radióloga especialista en imagen materno-fetal. Su experiencia, empatía y precisión son clave para interpretar cada detalle de esta ecografía temprana, brindándote la tranquilidad y la información que necesitas en esta etapa.
Además, te entregamos resultados inmediatos digitales, para que tú y tu ginecólogo puedan tener la información al instante y continuar con un seguimiento óptimo de tu embarazo.
Detalles del estudio
Preparación
Ninguna
Desde Semana
5
Hasta Semana
10
Complementos Disponibles
Doppler Arterias uterinas
Resultados
Digitales Inmediatos








